Наши работы
Наращивание зубов
Наращивание — это способ реставрации, который применяется для частично разрушенных зубов или их коронок, если корень сохранился и здоров. Для этого применяются различные методики, при помощи которых можно восстановить передние или жевательные зубы. В зависимости от способа, результат будет радовать от 5 до 20 лет.
До
После
До
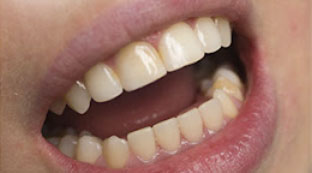
ПослеОтбеливание зубов
Отбеливание – стоматологическая процедура для осветления зубной эмали. Современные методы позволяют быстро получить яркую белоснежную улыбку, надолго сохранить ее, при этом оздоровить и укрепить зубной ряд. В стоматологии «Денто-комфорт» можно профес- сионально отбелить зубы, сделав их светлее на 8-12 тонов.
До
ПослеОтбеливание зубов Zoom
Зубная эмаль человека устроена таким образом, что со временем она теряет присущую ей светлую окраску, покрывается бактериальным налетом, окрашивается красящими вещества- ми, содержащимися в чае, кофе, вине, ягодах и т.п. Все это приводит к тому, что нас переста- ет устраивать получившийся оттенок и мы начинаем искать способы отбеливания зубов. У кого-то от природы цвет эмали больше приближен не к белому, а к желтому.
ПослеЗубные коронки из диоксида циркония
Чтобы зубы после протезирования выглядели естественно, используют циркониевые корон- ки. У них натуральный цвет, который не изменяется со временем, а прочность выше, чем у металлокерамики. Коронки из диоксида циркония – это безметалловые протезы, с помощью которых можно восстановить зубной ряд, а также сделать улыбку сияющей. В нашей клини- ке их изготавливают по специальной технологии, поэтому они полностью повторяют гео- метрию разрушенного зуба.
До
ПослеСъемные зубные протезы
Если у пациента отсутствуют зубы, а установить имплант невозможно, стоматолог может предложить съемные протезы. Они выглядят привлекательно, не дадут мигрировать остав- шимся зубам, измениться прикусу или речи. Такие конструкции используют чаще в пожилом возрасте, но иногда в них нуждаются молодые пациенты.

Имплантация зубов
Имплантация зубов – прогрессивный, безопасный и эффективный метод восполнения поте- ри зубов, который имеет множество преимуществ по сравнению с традиционным протези- рованием. Что такое имплантация зубов? Как происходит протезирование на имплантах и какие преимущества получает пациент, решивший воспользоваться данной методикой? Сколько стоит имплант? Обо всем по порядку.
До
ПослеКерамические коронки
Коронки (в данной статье мы рассматриваем чисто керамические изделия, так называемые безметалловые протезы) – уже давно занимают лидирующее место среди других видов про- тезов и продолжают оставаться актуальными, особенно если на первом месте стоит восста- новление эстетической функции, например, передних зубов.
До
ПослеПротезирование зубов
В нашей клинике работают опытные и квалифицированные врачи-хирурги, которые проводят простое и сложное удаление зубов мудрости.
До
ПослеВиниры на зубы
Если на зубах есть сколы, трещины или их цвет и форма далеки от идеала, можно использо- вать специальные микропротезы – виниры. Этот метод реставрации быстро придает улыбке эстетический вид, имеет мало противопоказаний и более доступную цену, чем протезирова- ние. При использовании современных материалов можно добиться высокой прочности, провести процедуру без боли и неприятных ощущений.
До
ПослеЧистка зубов ультразвуком
Стоматология «Денто-комфорт» приглашает вас на ультразвуковую чистку для профилакти- ки и лечения кариеса и болезней десен. Чтобы ваши зубы сохраняли красоту и здоровье, мы предложим полный комплекс профгигиены: чистку ультразвуком, процедуру Air flow и реми- нерализацию. Всего 1-1,5 часа - и ваши зубы снова сияют чистотой и естественным блеском.
До
ПослеКоронки из металлокерамики
В данной статье речь пойдет о металлокерамических коронках – их особенностях, преиму- ществах и стоимости. Виду того, что основа данных изделий представляет собой металличе- ский сплав, их часто называют и металлическими, но это не совсем так. Есть металлические коронки из благородных металлов – золота и серебра, они полностью сделаны из металла, но в данной статье мы их рассматривать не будем. Мы будем говорить о металлокерамике, поэтому если где-то встречается название «металлические», то нужно понимать, что речь идет о коронках с металлической основой.
До
После
